
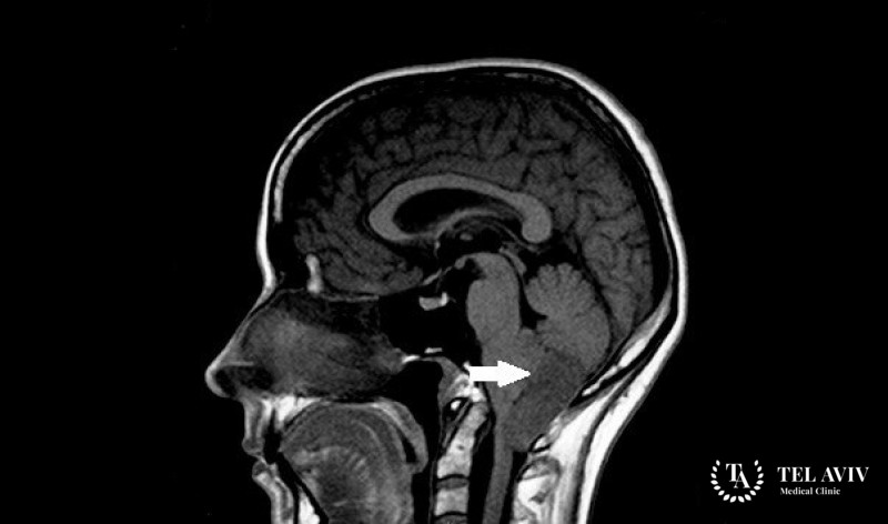
Субэпендимома – является злокачественной опухолью головного мозга, которая состоит из субэпендимальной глии и клеток. Образование имеет форму узла и зачастую расположено в желудочковой системе мозга. Врач, который обнаружил данное заболевание приступает к немедленному лечению. Пациенты с таким недугом довольно быстро выздоравливают. Терапия является эффективном при данном недуге. Человек может даже не знать о развитии опасной патологии, так как симптомы выражены крайне слабо. С течением времени опухоль значительно увеличивается в размерах и начинает сдавливать ближайшие ткани.
Как проявляется патология
Если вы заметили проявления следующих подозрительных признаков, необходимо незамедлительно обратиться к специалистам:
- Сильная головная боль;
- Тошнота или рвота;
- Нарушение равновесия и координации движений;
- Судороги;
- Частичный паралич конечностей;
- Потеря сознания;
- Ухудшение зрения, слуха и памяти.
Данная симптоматика не является типичной для заболевания. Квалифицированный врач проведет необходимое обследование и подберет правильное лечение.
Диагностика и лечение заболевания в клинике Tel Aviv Medical Clinic
В ведущей израильской клинике работает настоящая команда профессионалов, которая обладает высшей квалификацией и обширными знаниями в области лечения патологий головного мозга, в том числе и субэпендимомы. Мы используем новейшую аппаратуру и оригинальные препараты. Наши хирурги проводят малоинвазивные операции. Весь медперсонал ежегодно повышает свой уровень квалификации в ведущих европейских и американских лечебных заведениях.
В клинике установлены тарифы как в государственных больницах. Таким образом, вы получаете высококлассные услуги по приемлемой стоимости. В центре поддержки родителей и детей можно получить квалифицированную помощь психолога, а также пройти курс восстановления. Наши сотрудники обеспечивают круглосуточную заботу и контроль нашим пациентам. В случае необходимости, мы поможем связаться с благотворительными фондами для сбора денег на лечение.
В качестве диагностики врач использует лабораторные методы исследования и визуализацию проблемного участка. Затем на основе полученных данных подбирает схему терапии с учетом типа и характера патологии, а также общего состояния больного.

























