
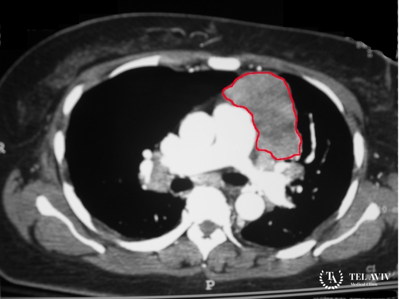
Тератома – является образованием, которое содержит элементы всех трех зародышевых листков. Данная патология встречается крайне редко и болеют им в основном женщины. Опухоль имеет грушевидную форму и может достигать до 15 см в диаметре. В медицине известны случаи, когда доброкачественное образование с течением времени перерождалось в злокачественное. Поэтому врач, который обнаружил патологию приступает к немедленному ее лечению.
Как проявляется заболевание
Человек может заметить проявление следующих симптомов:
- Одышка;
- Нарушение ритма сердца;
- Шумы в сердце;
- Повышенная утомляемость;
- Внезапная сердечная недостаточность;
- Увеличение сердца;
- Повышение температуры тела;
- Общее недомогание и другие.
Только опытный врач после проведенного исследования сможет поставить верный диагноз, а также подобрать правильную схему лечения для пациента.
Как проводится диагностика патологии
Для того, чтобы поставить верный диагноз, врач использует следующие методы:
- Осмотр;
- Анализ крови;
- Биопсия;
- Рентгенография;
- ЭКГ;
- Эхо-КГ;
- Ангиография и другие.
На основе полученных данных специалист подбирает индивидуальную схему терапии с учетом общего состояния пациента и наличия противопоказаний.
Как проводится лечение заболевания в клинике Tel Aviv Medical Clinic
В нашей клинике работают настоящие профессионалы своего дела, которые более 10 лет занимаются выявлением и лечением патологии. Мы используем уникальные методы терапии и новейшее оборудование. Наши сотрудники ежегодно повышают свой уровень квалификации в ведущих заведениях Европы и Америки. Палаты отделения оснащены всем необходимым для скорейшего выздоровления наших пациентов.
Специалисты нашего отделения рекомендуют удалить опухоль. Хирурги используют малоинвазивные методы проведения операции, которые являются безопасными и эффективными для больного. Если опухоль была злокачественная, дополнительно проводят курс химиотерапии для уничтожения злокачественных клеток.
Стоит отметить, что в клинике установлены тарифы как в государственной больнице. Это станет приятным бонусом для наших клиентов. Мы тесно сотрудничаем с благотворительными фондами и помогаем собрать средства на лечение. Врачам нашей клиники удается помочь даже тяжелобольным пациентам.

























