
Новообразования в средостении поражают медиальную область грудины. В медицине разделяют верхнюю, среднюю, нижнюю зону средостения. Пространство принято условно делить на переднюю, заднюю, среднюю часть. Внутригрудной зоб относится к первичным патологическим образованиям, располагающихся в медиастинальном отсеке. Тип новообразования – дисэмбриогенетический. В большинстве случаев опухоли обнаруживаются в верхней зоне средостения.
Симптоматика внутригрудного зоба средостения
Заболевание отличается медленным прогрессированием. На начальной стадии выявить опухоль позволяет профилактический осмотр, обследование. Симптоматика отсутствует. По мере увеличения зоба появляются характерные симптомы:
- Хроническое ощущение слабости, утомленности;
- Аритмия, сбои сердечного ритма;
- Приступы лихорадки, повышение потоотделения;
- Развитие плеврита, тахикардии, брадикардии;
- Стремительное сокращение массы тела;
- Плохой аппетит, сонливость;
- Появление осложненного дыхания, одышки.
Как выявить внутригрудной зоб в средостении
Начальное обследование состоит из осмотра, опроса пациента. Специалисту необходимо сформировать клиническую картину заболевания, собрать анамнез. На основании полученных данных разрабатывается специализированная программа диагностики. При подозрении на развитие внутригрудного зоба рекомендуется:
- Проведение пункционной биопсии;
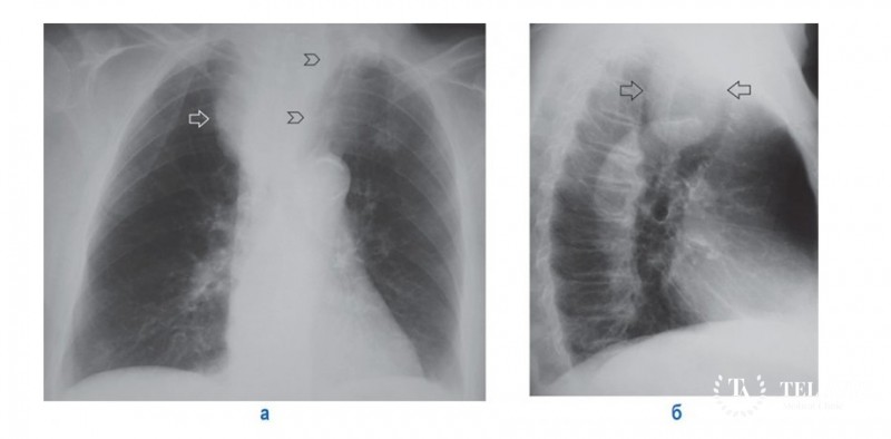
- Рентгенологический осмотр, позволяющий выявить точную локализацию патологического очага, его структуру, размерность;
- Рентгеновское исследование органов грудины;
- Магнитно-резонансная томография;
- Полипозиционная рентгенография;
- Компьютерная томография;
- Видеоторакоскопия;
- Бронхоскопическое обследование;
- Медиастиноскопия;
- Поводом для проведения прескаленной биопсии являются увеличенные лимфатические узлы надключичного отдела.
Из лабораторных исследований проводится общий, клинический анализ крови пациента. При необходимости назначается биохимическое исследование крови.
Лечение внутригрудного зоба в Tel Aviv Medical Clinic
Израильский медицинский центр на протяжении десятилетий занимается исследованием, диагностикой, лечением патологий средостения. Специалисты клиники – ведущие доктора мирового уровня. Они регулярно принимают участие в международных разработках, исследованиях, представляют результаты своей работы на международных консилиумах, конференциях. Медицинский центр полностью оснащен дорогостоящим, высокотехнологичным оборудованием нового поколения, что позволяет максимально повысить эффективность обследования, лечения пациентов клиники.

























