
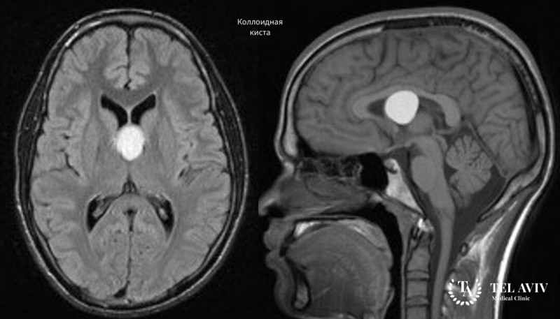
Коллоидные кисты относят к классу опухолевых образований в головном мозге человека. Они имеют округлую форму, поражают третий желудочек мозга, его полость. Согласно исследованиям, кисты возникают по причине нарушений в развитии нервной системы в период формирования плода. Нормальное развитие мозга ребенка страдает от негативного воздействия внешней среды:
- Вредных привычек;
- Стрессовых ситуаций;
- Плохой экологической обстановки;
- Внутриутробных инфекционных процессов;
- Резусных конфликтов.
К нарушениям формирования нервной системы могут привести последствия тяжелого токсикоза у беременных. При сохранении участка зародышевых тканей стартует выработка желеобразной жидкости клетками фрагмента. Плотная оболочка из соединительных тканей отделяет жидкость от окружающей ткани.
Размер коллоидной кисты на начальной стадии не превышает несколько миллиметров. Триггерные факторы стимулируют рост образования. Опухоль увеличивается быстрыми темпами.
Как выявить и вылечить коллоидную кисту головного мозга
Диагностик коллоидной кисты начинается с первичного опроса, осмотра пациента. После сбора анамнеза специалист направляет больного на дополнительные анализы. Наиболее результативными признаны следующие методы обследования:
- Магнитно-резонансная томография;
- Компьютерная томография с использованием контрастного вещества;
- Офтальмологический осмотр;
- Биохимическое исследование крови.
При незначительных размерах кистозного новообразования, отсутствии специфичной, патологической симптоматики, врач рекомендует выжидательную тактику. Пациенту рекомендуется каждый год проходить магнитный резонанс, посещать доктора.
Опухоль значительных размеров требует проведения операции. Специалист проводит полномасштабную резекцию кистозного образования. Ликворные пути обретают нормальную проходимость, устраняется повышенное внутричерепное давление.
Лечение коллоидной кисты в Tel Aviv Medical Clinic
Тель-Авивская клиника Tel Aviv Medical Clinic признана лидером в области лечения патологий головного мозга. Опытные специалисты обладают высшей квалификацией, имеют собственные разработки, методики по лечению пациентов, используемые во многих клиниках мира. Медицинский центр полностью оборудован высокотехнологической аппаратурой, что позволяет специалистам проводить операции, диагностику, лечение пациентов с максимальной эффективностью.

























