
Спинальная шваннома развивается из вспомогательных клеток нервной ткани и является одним из видов доброкачественной опухоли. Шваннома может образоваться в любом отделе позвоночника, поражать нервы, локализоваться под кожей. Опасность данной опухоли в ее месторасположении, что при росте шванномы приводит к сдавливанию нервных окончаний, вызывающих различные нарушения. Встречается чаще заболевание у людей преклонного возраста и при своевременном и адекватном лечении, характеризуется благоприятными прогнозами.
Ученые достоверно не знают, какие факторы могут привести к развитию шванномы, но предполагают, что без генетической предрасположенности не обошлось. В любом случае, пациенты с поражением спинного мозга требуют особого внимания и квалифицированного подхода в назначении терапевтических мер. В израильской клинике Tel Aviv Medical Clinic, специализирующейся на нейроонкологических заболеваниях, оказывают медицинскую помощь больным с разных стран. Наши врачи имеют солидный практический опыт, применяют передовое оборудование и самые современные, усовершенствованные методики.
Какими признаками характеризуется шваннома спинного мозга?
В зависимости от очага поражения опухоль может проявляться разной степенью интенсивности и длительности. Отмечаются общие симптомы заболевания:
- Боль в области локализации.
- Нарушение двигательной функции или работы органов.
- Затрудненная речь.
- Снижение мышечной силы.
- Паралич.
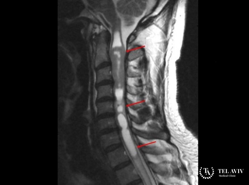
Как проводится диагностика и лечение шванномы?
Для диагностирования неврологического заболевания в Tel Aviv Medical Clinic применяются комплексные способы обследования. Наиболее информативную оценку можно получить, используя современную аппаратуру:
- УЗИ.
- Рентгенография.
- Электронейромиография.
- МРТ, КТ.
- Биопсия опухоли.
Диагностика позволяет определить степень распространенности новообразования, его структуру, размер, глубину и форму, и уже на основании результатов разрабатывать оптимальную тактику лечения. Также, врачами нашей клиники при выборе терапевтических мер учитывается состояние пациента, сопутствующие болезни и осложнения. Лечение шванномы предполагает ее удаление. Это может быть сделано открытым хирургическим вмешательством, эндоскопическим и малоинвазивным путем. При расположении опухоли в труднодоступном месте специалисты Tel Aviv Medical Clinic используют безопасную технику радиохирургии, направленную на уничтожение больных клеток.

























