Гемангиобластома головного мозга – это развивающаяся из кровеносных сосудов доброкачественная опухоль, которая зачастую локализуется в мозжечке. К основным факторам, повышающим […]
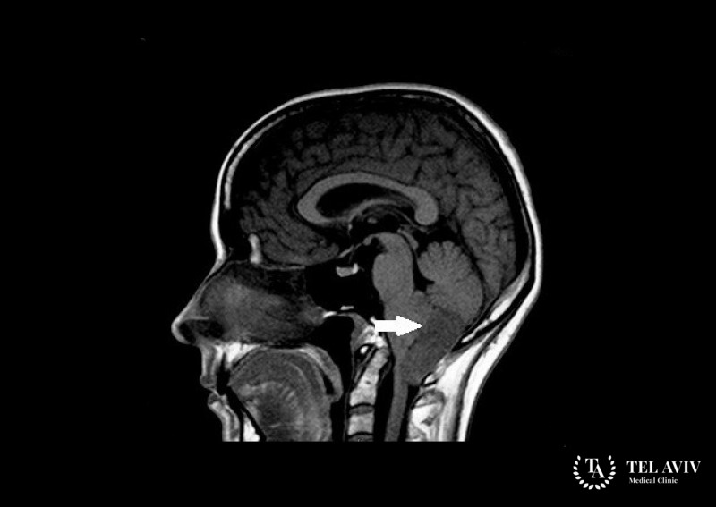
Глиома – опухоль нервной системы, которая состоит из нейроэпителиальных клеток, входящих в состав головного мозга. Образование представляет собой округлый выступ […]

