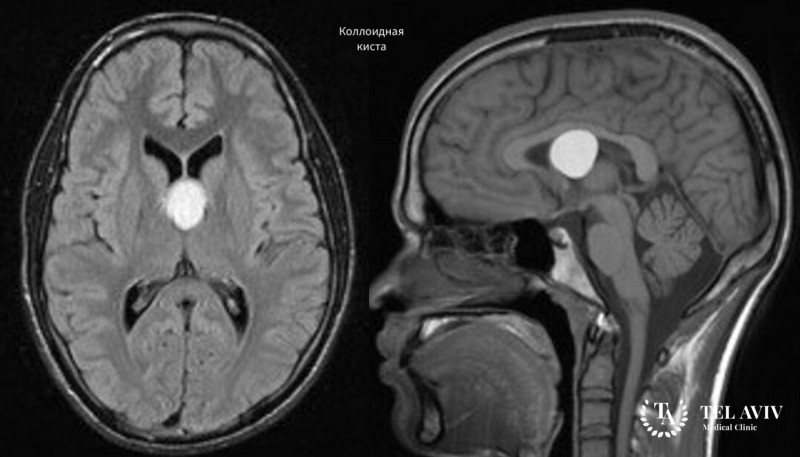
Кисты в головном мозге относят к группе доброкачественных образований. Они формируются из жидкости, элементов мягкой ткани. Для кисты не характерно […]
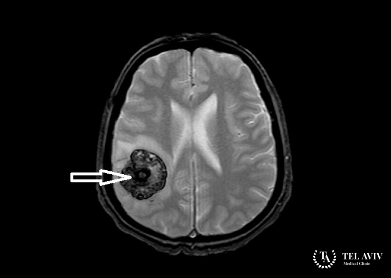
Из переродившихся клеток паутинной оболочки головного мозга образуется опухоль, имеющая округлую форму и расположенная в твердой оболочке мозга. В основном […]


