Плексиформная фиброгистиоцитарная опухоль – это один из видов «Фиброгистиоцитарных» образований. Данное заболевание специалисты относят к пограничному виду онкологических заболеваний. Опухоль […]
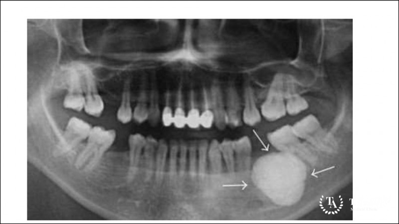
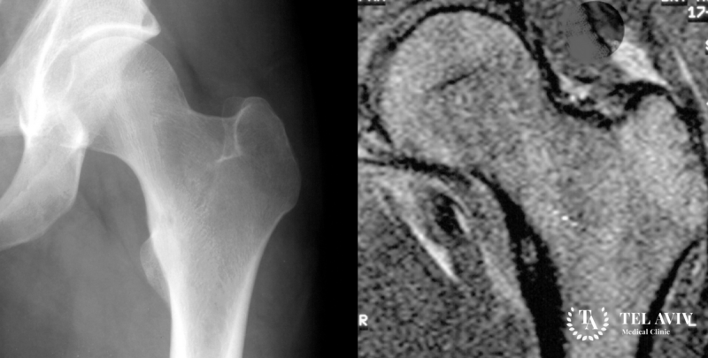
Гигантоклеточная опухоль кости (остеобластокластома, остеокластома) – это доброкачественная опухоль костной ткани, которая склонна к местно-деструктивному течению, то есть новообразование по […]


